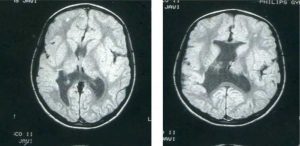
What is Schizencephaly? Schizencephaly is a rare congenital cerebral malformation characterized by linear clefts in […]
What is Schizencephaly? Schizencephaly is a rare congenital cerebral malformation characterized by linear clefts in […]
Related News
Headlines
Tag: Intellectual Disability
No More Posts Available.
No more pages to load.
